
Rowan T.
Statement of interest, Spring 2023: I want to join WISRD because I enjoy science, particularly zoology, botany, and microbiology. I would like to not only get a better understanding of the experiment I am placed to work on but also learn to work better in groups. I would love to explore the LA River, how life continues to exist when it is empty, or how the ocean life looks where it empties.
8/24/23
Today was my first day at WISRD. The environment seems welcoming and the projects seem fun. I’m excited to look more into the things people are working on. since this is also my first year at Wildwood I’m not sure how all of the things work so I am interested in joining one of the board meetings. I’ve just heard about WILD and it seems very appealing to me I would love to join it. However, I am also interested in the self-sustaining tanks.
8/25/23
Today I got to do a lab! I worked with the urchin tank (the ones that wear hats) I was cleaning off the algae on the sides of the tank. it had a pattern like dashes because the snails were eating it as well as moving. As I was cleaning an amphipod landed on my hand. I had not realized at the time so I took my hand out and saw it. Esme and I placed it in a pool of water and looked at it. earlier she was looking at a sample of the worms on the algae. I also noticed a group of white almost barnacle-looking things on the filter. Esme took a sample of it and it looked like baby snail shells (they look like a spiral but not as round as the adult snails). My arm is now very sticky but it was fun.
8/30/23
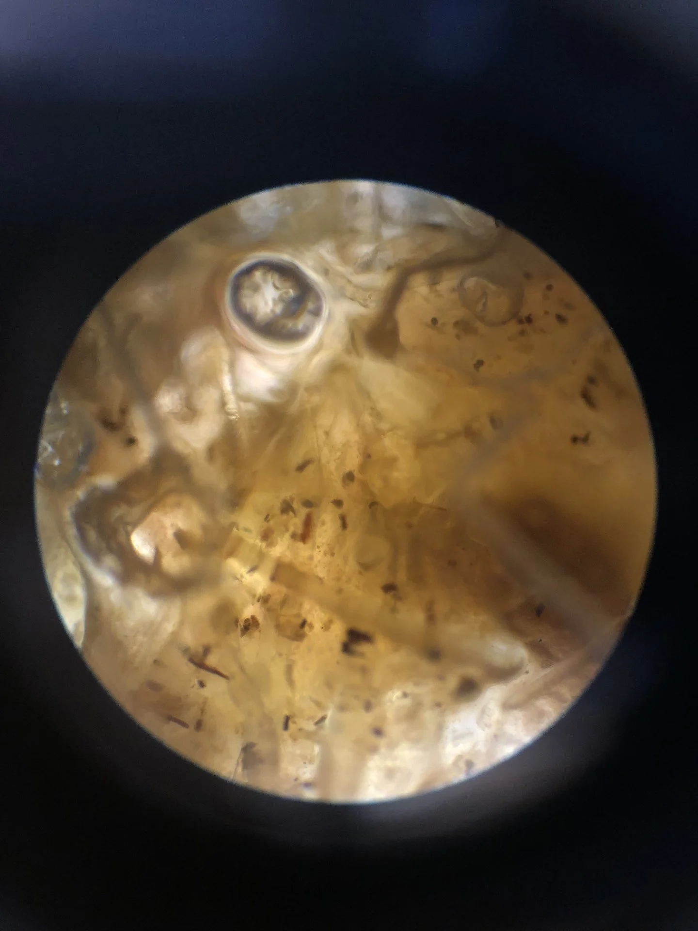
Today at WISRD I got to do whatever, so I looked at 2 samples from the oyster tank. One from the sandy substrate and one from the water including one of the white specks that float around the tank. In the water sample, I could not find the white speck at all but I did find some diatoms. Diatoms are a single-celled type of algae. They were brown and slightly opaque, like the image on the far left. In the substrate sample, I found a lot more things. First I saw a protozoan. It was more rounded than the one in the middle image but that was the closest representation I could find. Then when I told Megan she thought I was describing a nematode. When I explained it further and showed her the microscope, a nematode slithered in the corner of the microscope, much like the image on the right. I also observed a nematode with a square head and something that looked like a mandible, but I was unable to find any picture like it.
8/31/2023
Today I inspected the food slab in the fish tank. The fish seemed to be uninterested in that form of food. The snails, however, took a few bites of it. Over time it began to grow mold, making part of the slab of food white and slightly opaque. The rest of the food was orange and smelled like soaking bones (with stuff still on it). I took a sample of each side of the slab and used the microscope to look at them more clearly. I first looked at the moldy part. From what I could see nothing was moving, but the substance looked like ice. The second sample was the normal fish food. It looked like it had some diatoms on it. This was to be expected because it was in a fish tank. It was an opaque orange color with sections much like the moldy sample. From left to right, fish food mold, and regular fish food.
9/7/2023
Today in WISRD I took a sample from the freshwater tank. I took it from the substrate. nothing much was found moving around but the soil was clumped in interesting ways. when I zoomed in more, I saw in more detail how the soil joined together. from left to right, the soil, the zoomed-in soil.
9/11/2023
Today I mostly caught up on writing, but when I checked up on the urchins I saw one on the very top of the rocks in the tank waving its feet around. This happened last year, just before the urchin released sperm, so I hypothesized that this one would do the same. I sat down and worked for a bit, but got distracted by the urchins again. When I walked up to them, the urchin on the rocks was releasing sperm. after my discovery, me and Esme took a video and she extracted the sperm. After that, I took a look at the brine shrimp under the microscope. A lot of them were still eggs or just leftover eggs, but some had already hatched. From left to right, the videos of the urchin, and the picture of the brine shrimp.
9/13/2023
today I was catching up on writing (again) and when I checked up on the urchins there were little white things on the tank. I took some of them and put them under the microscope. I had forgotten my phone, so I’ll draw it. At first, i thought it was a baby urchin because they look similar, but it would be impossible for them to be on this stage only a couple of days after they released sperm. left to right, my drawing, and an urchin lifecycle.
9/27/2023
Today i helped the hydroponics lab. They have a super cool experience but i cant really talk about it for them because I don’t have all the information. Just go to their part of the website. They were planning on starting to add nutrients to the plants, but since there are so many lights and clear tubes, that would create a very nice place for algae to grow, so I covered all the clear parts with tin foil.